조기 진단 중요성 부각, 범용 장비도 간섬유화 검사 자동화 및 고주파 프로브 기능 탑재
[의학신문·일간보사=오인규 기자] 최근 비만과 당뇨병 등 대사질환이 늘어나면서 간 질환과 심혈관 질환이 동시에 나타나는 환자가 빠르게 증가하고 있다. 실제로 국내 성인 비만율은 2022년 기준 37.2% 수준으로 상승세를 이어가고 있으며 지방간 유병률은 성인 인구의 20~30%에 이른다. 이와 함께 19세 이상 성인 고혈압 유병률은 약 22%, 당뇨병은 약 10%에 달해 심뇌혈관질환 위험도 커지고 있다.
지방간은 간암으로, 고혈압과 고지혈증은 심근경색과 뇌졸중으로 이어질 수 있어 조기 진단의 필요성이 갈수록 커지고 있다. 이러한 배경 속에서 MR, CT, X-ray 등 다양한 영상진단 장비가 활용되고 있으며 특히 방사선 노출 위험이 없어 반복 검사가 가능한 초음파는 간과 심장을 포함한 주요 장기 진단에 적합한 대안 중 하나로 주목받고 있다. 더 나아가 최근에는 AI 기반 자동화 기술이 접목되면서 초음파 검사의 재현성과 효율성이 크게 향상되고 있다.
이러한 상황에서 필립스는 한층 기능이 강화된 초음파 제품 포트폴리오를 공개했다. 이번 업그레이드를 통해 간섬유화 검사 자동화 기능 ‘오토 엘라스트큐(Auto ElastQ)’와 고주파 프로브 ‘mL26-8’의 호환성을 범용 장비인 어피니티(Affiniti 50, 70) 라인업부터 고사양 장비인 에픽 엘리트(EPIQ Elite)까지 폭넓게 제공한다. 또한 심장 및 간 질환 진단 등 다양한 임상 분야에서 활용 가능한 워크플로우 개선 기능도 탑재했다.
고사양 장비의 필립스 최신 기술과 플랫폼 공유한 범용 초음파 시스템 – Affiniti VM 12.0
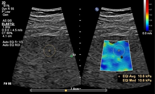
필립스의 어피니티 시리즈는 최근 VM 12.0 버전으로 업그레이드되면서 ‘오토 엘라스트큐’ 기능을 탑재하고 ‘mL26-8 프로브’ 장착이 가능해졌다.
필립스의 ‘오토 엘라스트큐’ 기능은 전단파 탄성 초음파(Shear Wave Elastography, SWE) 데이터를 자동으로 분석하고 최적의 측정 프레임과 검사 관심 영역(ROI, Region of Interest)을 설정하는 기능으로 검사 효율성과 진단 정확도를 향상한다.
기존에는 의료진이 수동으로 프레임과 ROI를 지정해야 했으나, 이제는 시스템이 자동으로 최적의 측정 위치를 설정하여 더욱 빠르고 정밀한 검사가 가능하다. 이를 통해 검사 시간이 기존 대비 60% 단축되고, 키 스트로크(조작 횟수)가 29% 감소해 의료진의 업무 부담을 줄이는 데 기여한다.
‘mL26-8 프로브’는 표재성 장기에 대한 뛰어난 해상도를 가지는 고주파(High MHz) 프로브로 환자의 작은 신체 부위부터 근골격계뿐만 아니라 혈관, 유방, 갑상선 진단 등 다양한 임상 영역에서도 폭넓게 활용할 수 있다. 이로써 검사자는 효율적인 워크플로우와 기존 장비 대비 신속한 진단과정을 경험할 수 있으며 환자의 다양한 신체부위의 진단이 가능하다.
심장 진단에서는 자동 심근 정밀평가(Auto Strain) 기능을 강화해 기존 종단면 변형값(Global Longitudinal Strain, GLS) 분석뿐만 아니라 심장의 구혈률(Ejection Fraction, EF) 및 구획 심근 운동평가(Segmental Wall Motion Scoring, SWMS)까지 자동으로 측정할 수 있도록 개선했다. 또한, 2D 및 도플러 자동 측정 기능, 2D 오토스트레인 LV(2D AutoStrain LV) 기능 등이 추가되어 보다 효율적인 검사 환경을 조성한다.
어피니티 VM 12.0 버전에서는 영상 품질 또한 향상되어 오토스캔(AutoSCAN) 기능을 통해 선명도를 높이고, 플로우 뷰어(Flow Viewer) 기능을 활용해 혈류 흐름을 3D 형태로 시각화함으로써 혈관 구조를 직관적으로 분석할 수 있도록 지원한다.
고품질 영상과 효율적인 워크플로우 지원하는 고사양 초음파 시스템 - 에픽 엘리트(EPIQ Elite - VM 12.0)
새로운 버전의 에픽 엘리트는 2D 이미지 최적화 기술을 적용해 갑상선, 유방, 근골격, 혈관, 산부인과 등 다양한 임상 분야에서 기존 모델 대비 영상 품질을 향상했다. 이를 통해 미세 병변과 혈류 흐름을 더욱 정밀하게 평가할 수 있도록 지원한다. 특히, 2D 영상에서 조직의 경계선 선명도(Edge Definition), 대비 해상도(Contrast Resolution)가 개선되어 보다 선명한 영상을 제공하며, 미세 구조를 더욱 정확하게 시각화할 수 있다.
이와 함께 의료진의 워크플로우 개선을 지원하는 ‘퀵 론치 프리셋(Quick Launch Preset)’, ‘임포트 바디 마커(Import Body Marker)’, ‘컬러 코디드 아노테이션(Color Coded Annotation)’ 기능도 새롭게 추가됐다.
이를 통해 자주 사용하는 프리셋을 한 번의 터치로 검사 환경에 맞게 전환할 수 있으며, 해부학적 구조 마커를 자유롭게 추가하거나 편집할 수 있다. 또한, 동일한 그룹 내 데이터를 색상별로 자동 정리하는 기능이 제공되어 아노테이션 관리가 더욱 편리해졌다.
대한영상의학회 및 부산국제의료기기전시회에서 첫 공개
한편 필립스의 새로운 초음파 제품 포트폴리오는 이달 열리는 대한영상의학회 학술대회(KCR 2025) 전시 부스(Hall B, G-92)와 부산국제의료기기전시회 키메스 부산 부스(G209)에서 처음 공개된다. 전시장에서는 다양한 초음파 장비가 전시되며 ‘오토엘라스트큐’ 기능을 직접 체험해 볼 수 있는 핸즈온(Hands-on) 프로그램도 운영할 예정이다.
[위 내용은 KIMES BUSAN 2025 현장에서 배포하는 의학신문 특별판에서도 볼 수 있습니다.]
