[의학신문·일간보사=정광성 기자] 한의계가 ‘한의사를 활용한 지역 공공의료 공백 해결’이라는 정부 입장에 환영의 뜻을 밝혔다.24일 대한한의사협회(회장 윤성찬)는 “정부가 한의사를 활용해 지역 공공의료분야의 양의사 부족사태를 해결할 것임을 밝힌 것에 대해 환영의 뜻을 표한다”며 “국민의 의료기본권 보장을 위해 정부와 국회의 조속한 후속조치 마련이 필요하다”고 촉구했다.보건복지부는 24일 국회에서 제기된 ‘공중보건의사 감소에 따라 한의사의 참여와 역할을 확대해야 한다’는 정책 제안에 ‘공감한다’는 입장을 밝힌 바 있다.한의협은 앞서
[의학신문·일간보사=최진욱 기자] 대한치매구강건강협회(이하 치구협) 임지준 회장은 최근 한국의학바이오기자협회 제8회 미디어 아카데미에 초청돼 ‘초고령 사회, 노인 건강과 돌봄을 위한 구강 관리의 중요성’을 주제로 강연을 진행했다고 밝혔다.임 회장은 강연을 통해 치매 환자와 요양 시설 어르신들의 삶을 결정짓는 핵심 요소가 ‘구강 건강’임을 의료·언론계에 명확히 전달했다.구체적으로 흡인성 폐렴 발생률이 정기적인 구강 관리만으로 1/4 수준까지 감소할 수 있다는 국내외 데이터를 공유하고, 치주염과 같은 잇몸 염증이 알츠하이머병 위험과 연
[의학신문·일간보사=정광성 기자] 한의계가 한의사의 국소마취제 및 고주파·레이저 의료기기를 사용한 미용시술에 대한 경찰의 불송치 결정에 의료계가 이의를 제기하자 이를 반박하고 나섰다.20일 대한한의사협회(회장 윤성찬)는 “한의사의 국소마취제 및 피부·미용의료기기 사용이 법적으로 문제없다는 사실을 재확인 한 것”이라고 환영하며, 의료계 본연의 업무인 진료에 집중할 것을 요구했다.서울 동대문경찰서는 최근 A한의사의 국소마취제 사용 후 고주파·레이저 의료기기를 활용한 미용시술에 대해 ‘면허 외 의료행위로 보기 어렵다’며 불송치(혐의없음)
[의학신문·일간보사=차원준 기자] 전남대학교치과병원이 개원 17주년을 맞아 11월 17일 오전 11시 치과병원 5층 평강홀에서 기념식을 개최하고, 지난 성과를 돌아보며 미래 발전 방향을 다졌다.이날 행사에는 정 신 전남대학교병원장, 황윤찬 전남대치과병원장을 비롯해 치과병원 및 본·분원 관계자 등 100여 명이 참석했다. 병원 연혁보고, 기념영상 상영, 개원기념 유공자 포상 순으로 진행된 기념식은 치과병원이 걸어온 17년의 발자취와 앞으로의 비전을 공유하는 의미 있는 자리로 꾸며졌다.전남대치과병원은 2008년 용봉동으로 이전 개원한
[의학신문·일간보사=최진욱 기자] 대한치과의사협회(회장 직무대행 마경화, 이하 치협)가 연말을 앞두고 만 19세 이상 성인에게 제공되는 스케일링(치석 제거) 건강보험 혜택의 적극 활용을 권장했다. 스케일링 건강보험 혜택은 1년에 한 번 적용되며, 해당 연도를 넘기면 소멸되기 때문이다.치협은 건강보험심사평가원의 통계를 확인한 결과, ‘치은염 및 치주질환’이 국내 외래 다빈도 상병 1위(약 1880만 명)라고 밝히며, 이를 예방할 수 있는 효과적인 방법으로 스케일링을 꼽았다.스케일링은 치주질환의 주요 원인인 세균막과 치석을 제거해 잇몸
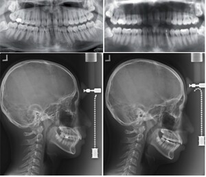
[의학신문·일간보사=정광성 기자] 한의계가 한의사의 X-ray 사용이 국민건강을 위한 필수 과제로 보고 입법 추진에 총력을 다하겠다는 의사를 피력했다.대한한의사협회(회장 윤성찬)는 지난 24일 “한의사의 X-ray 사용은 국민건강증진과 진료 편의성 향상을 위한 필수불가결한 사안”이라며 “‘한의사를 진단용 방사선 발생장치(X-ray) 안전관리책임자에 포함한다’는 내용의 의료법 일부개정법률안의 조속한 입법이 필요하다”고 밝혔다.한의협은 해당 법안을 대표 발의한 더불어민주당 서영석 의원 지역구 사무소에서 시위를 벌인 일부 의협의 행보를
[의학신문·일간보사=정광성 기자] 한의협 집행부가 한의사의 현대의료기기 사용 제도화 및 문신사 교육, 한의 비급여 진료 실손보험 보장 재진입 등 3대 과제를 추진하겠다는 의지를 피력했다.대한한의사협회 윤성찬 회장은 지난 15일 기자들과 만난 자리에서 “지난 1년간 한의계 제도적 권익 신장 기반을 다지는데 최선을 다했다”며 “이제 한의사 진단용 의료기기 사용 확대를 위한 법안 통과와 실손보험 보장성 재진입에 전력을 다하겠다”고 말했다.그는 한의계의 최우선 현안으로 엑스레이 등 한의사 현대의료기기 사용 제도화를 꼽았다.지난 2022년
[의학신문·일간보사=최진욱 기자] 법원이 치협 박태근 회장과 3명의 선출직 부회장에 대한 당선 무효를 선고한 데 이어, 직무집행정지가처분 신청을 인용했다. 지난 7월 첫 심리가 시작되고 약 3개월 만이다. 이에 따라 치협 정관 제13조에 의거해 마경화 보험담당 상근부회장이 직무를 대신하게 됐다.지난 14일 서울동부지방법원 제21민사부는 이 같은 결정을 내리고, 소송비용은 피고 측이 전액 부담하도록 주문했다.2023년 5월 ‘제33대 대한치과의사협회장 선거’ 당시, 선거관리규정 위반·부정선거 의혹 등을 이유로 박태근 회장과 선출직 부
[의학신문·일간보사=정광성 기자] 한의계가 문신사의 전자침 안전 시술 교육·관리를 한의사가 담당해야 한다는 주장을 펼쳤다.29일 대한한의사협회(회장 윤성찬)는 문신사법 수정안에 대해 환영한다는 입장을과 함께 이같이 밝혔다.한의협은 “침습적, 비가역적 행위인 문신 시술은 지금까지 전문성 등을 고려한 법원의 판결에 따라 ‘의료행위’로 인정돼 왔고, 이에 따라 현재 전국 각지의 한의의료기관에서 두피 문신과 백반증 치료 등에 문신 시술을 활용한 치료를 시행해 왔다”며 “문신 시술이 가능한 의료인에 한의사를 포함하는 것은 지극히 당연한 조치
[의학신문·일간보사=정광성 기자] 한의계가 의료계를 향해 한의 주치의제를 반대할 것이 아니라 국민 건강권 보장에 집중해야 한다고 비판했다.26일 대한한의사협회(회장 윤성찬)는 “한의 주치의 시범사업 반대는 국민의 진료선택권을 제한하고 대통령 공약을 정면으로 부정하는 시대착오적 발상”이라며 “기득권 보호를 위한 의료 독점주의에서 벗어나 진정한 의료개혁에 동참할 것을 촉구한다”고 밝혔다.‘한의 주치의 제도’는 초고령사회 진입에 따른 노인 건강관리와 만성질환 대응, 의료 취약지 돌봄 강화를 위한 대통령 공약이자 주요 국정과제로, 국민 건
[의학신문·일간보사=차원준 기자] 조선대학교 치과대학 임성훈 교수가 국제 교정학계의 권위 있는 학술지에서 연이어 부편집장으로 위촉되며, 국내 교정학 연구의 글로벌 위상을 한층 끌어올리고 있다. 현재 조선대학교 치과병원장으로 재직 중인 그는 이번에 대한치과교정학회(KJA)의 공식 학술지 《Korean Journal of Orthodontics》(KJO)의 임시 편집장으로도 선임돼 학회 운영의 핵심 역할을 맡게 됐다.임 교수는 지난 2024년 미국교정학회(AAO)의 대표 학술지 《American Journal of Orthodontic
[의학신문·일간보사=최진욱 기자] 치협이 국회 본회의 상정을 앞둔 ‘문신사법’ 제정안에 치과의사가 배제된 것에 대해 즉각 수정을 촉구했다.동일하게 의료법상 의료인으로 규정된 치과의사를 배제한 것은 명백한 차별로 위헌적 요소이며, 국민의 폭넓은 치료 선택권 또한 침해한다는 이유에서다.대한치과의사협회(회장 박태근, 치협)는 19일 성명서를 통해 이 같은 입장을 강력히 주장했다.치협은 “치과의사는 구강악안면을 포함해 얼굴 전반의 해부학적 구조와 이를 지지·연결하는 전신 기능을 통합적으로 이해하고 있으며, 고난도의 수술과 정밀한 봉합을 포
[의학신문·일간보사=차원준 기자] 전북대학교병원 치주과 김우주 전임의가 국제치과연구학회 한국지부회 주관 학술경연대회에서 '잇몸 조직 수복용 점착성 생체소재 개발' 연구로 Hatton Award와 (재)대한치주연구소 우수학술상을 동시에 수상했다. 이는 치주조직 재생 분야에 새로운 가능성을 제시한 성과로 평가받고 있다.학술대회는 서울바이오허브에서 열렸으며, 김 전임의는 '광중합성 생체접착제와 콜라겐 매트릭스를 병합한 치은 조직 재생 평가' 주제로 연구 결과를 발표했다. 이 연구는 전북대병원 치주과 윤정호 교수 연구팀이 포항공과대학교,
[의학신문·일간보사=정광성 기자] 한의계가 국회 본회의 상정을 앞둔 ‘문신사법’에 대해 ‘한의사를 의도적으로 배제한 독소조항이 포함돼 있다’며 강력히 반발하며 즉각적인 시정과 함께 한의사 문신 시술 포함을 촉구했다.16일 대한한의사협회(회장 윤성찬)는 “문신사법이 문신 시술의 합법화를 통해 국민 건강과 권익을 보호한다는 취지에는 공감한다”면서도 “의료인 중 의사만 허용하고 한의사를 배제한 것은 국민을 기만하는 위헌적 차별 행위”라고 비판했다.이는 한의사는 의료법 제2조에 규정된 의료인으로, 침·뜸·부항 등 인체 피부를 자극하는 침습
[의학신문·일간보사=최진욱 기자] 대한치과의사협회 치과의료정책연구원(원장 박영채, 이하 정책연구원)은 오는 15일부터 10월 2일까지 ‘2025년도 하반기 연구과제 공모’를 시작한다고 밝혔다.이번 공모는 새 정부의 보건의료 정책 기조에 부합하는 전략적 연구를 발굴하고, 치과계의 정책 역량을 한층 강화하기 위해 마련됐다.접수는 지정 주제인 △대정부·대국회 설득을 위한 치과의료 정책 실현 전략 △이갈이·투명교정 등 환자 자가치료장치(Self Device)의 임상 안전 가이드라인 제언과 자유주제 두 가지 형식으로 가능하다.연구과제 신청
[의학신문·일간보사=최진욱 기자] 박영국 세계치과의사연맹(FDI) 재정책임자가 지난 7일 중국 상하이에서 열린 ‘2025 세계치과의사연맹 총회’에서 한국인으로는 두 번째 FDI 차기 회장에 당선됐다. 이는 FDI 역사상 첫 단독 출마 당선이며, 그의 임기는 2027년 9월부터 2년간이다. 박 차기 회장은 경희대 치과대학을 졸업하고, 대한치과의사협회 고시이사, 경희대 치과대학장, 경희대 대외협력 부총장 등을 역임하며 활발한 대·내외적인 활동을 펼쳐왔다. 이날 박 차기 회장은 “FDI 125년 역사에서 차기 회장 단독 후보는 이
[의학신문·일간보사=정광성 기자] 한의계에서 농어촌 지역의 의료 공백이 심화되는 가운데, 공중보건한의사를 적극 활용해 주민 건강권을 보장해야 한다는 주장이 제기됐다.4일 대한공중보건한의사협의회는 “농어촌 의료 공백 심화에 따른 공중보건한의사 활용을 제안한다”고 밝혔다.협의회는 “농어촌 의료 공백 대응이 늦어지면서, 의과 공중보건의사 부족으로 보건지소의 진료 기능이 크게 제한되고 있다”며 “주민들은 혈압이나 당뇨 관리·독감 예방접종 같은 기본적인 의료 서비스조차 제때 받지 못하는 경우가 늘어나고 있으며, 지역 주민들의 건강권은 점점
[의학신문·일간보사=최진욱 기자] 최근 효과가 충분히 입증되지 않은 의약품 혹은 의료기기 등의 과대 광고로 인해 사회적 문제가 발생하고 있는 상황. 치과계에서도 검증되지 않은 ‘셀프 치아 장치’ 사용으로 인한 피해가 발생하고 있어 소비자들의 주의가 당부된다. 대한치과의사협회(회장 박태근, 치협)는 “이러한 장치가 이갈이·코골이·치아 교정이 가능한 것처럼 홍보되고 있다”며 “그 효과를 담보할 수 없을 뿐 아니라 예기치 못한 심각한 부작용이 확인되고 있다”고 지적했다.협회에 따르면, 일부 온라인 쇼핑몰에서 치과의사의 진단 없이 마우스피
[의학신문·일간보사=정광성 기자] 대한한의사협회 윤성찬 회장이 오는 30일·31일 양일간 대만 타이베이시 국립대만대 부속병원 국제컨벤션센터에서 개최되는 ‘제21회 국제동양의학학술대회(ICOM)’에 참석한다. 국제동양의학회(ISOM)는 1976년 제1회 국제동양의학학술대회(ICOM)를 시작으로 지금까지 총 20회의 학술대회를 개최했으며, 이를 통해 4500여 편 이상의 학술논문과 포스터가 발표됐다.이번 21회 대회는 ‘전통의학, 근거기반 의학에서 통합의학으로’라는 주제로 개최되며, ‘타이베이 선언’이 채택될 예정으로 선언에는 전통의학
[의학신문·일간보사=정광성 기자] 대한한의사협회가 의사인력 수급추계위에 한의사의 참여를 촉구하며 1인 시위를 진행했다. 12일 대한한의사협회 김지호 부회장은 ‘의사인력 수급추계위원회 제1차 회의’가 열리는 서울역 T타워 회의실 앞에서 의사인력 수급추계에 한의사 활용 방안을 함께 논의해 줄 것을 촉구하는 1인 시위를 펼쳤다.이날 김 부회장은 “한의사 참여 없는 의사인력 추계는 의료체계 현실을 제대로 반영하지 못하는 불완전한 정책이 될 것”이라며 “의사 인력 수급과 한의사의 역할 및 수급은 상호 밀접한 만큼 한의사와 함께 논의해야 한다