손상·턱관절 장애·점막궤양 등 유발
[의학신문·일간보사=최진욱 기자] 최근 효과가 충분히 입증되지 않은 의약품 혹은 의료기기 등의 과대 광고로 인해 사회적 문제가 발생하고 있는 상황. 치과계에서도 검증되지 않은 ‘셀프 치아 장치’ 사용으로 인한 피해가 발생하고 있어 소비자들의 주의가 당부된다.
(사진제공: 대한치과의사협회)
대한치과의사협회(회장 박태근, 치협)는 “이러한 장치가 이갈이·코골이·치아 교정이 가능한 것처럼 홍보되고 있다”며 “그 효과를 담보할 수 없을 뿐 아니라 예기치 못한 심각한 부작용이 확인되고 있다”고 지적했다.
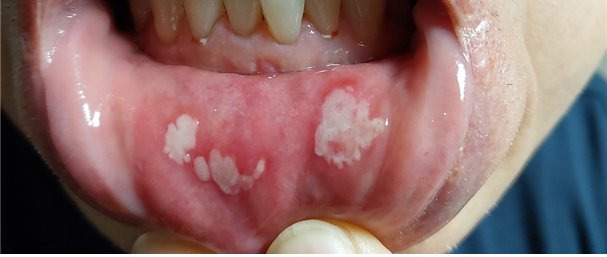
협회에 따르면, 일부 온라인 쇼핑몰에서 치과의사의 진단 없이 마우스피스가 판매되고 있다. 그러나 해당 장치로 인해 △치아나 잇몸의 손상 △부정교합 △턱관절 장애 유발 △파손 또는 파절로 인한 기도 흡입 등 다양한 부작용 유발 사례가 속출하고 있다.
실제로 구매 고객에게 ‘치은부종’이 유발된 것은 물론, 구강 내 ‘점막궤양’이 발생한 사례도 있다.
치협은 “이러한 장치는 치과의사의 정확한 진단을 통해 환자 개개인의 구강 상태에 적합한 형태로 안전하고 검증된 상태로 제작돼야 하고, 장치의 구강 내 영향을 감안한 전문가의 지속적인 관리와 조정이 필요하다”며 “부작용으로 인한 구강 건강의 악화 또는 치명적 부작용 발생을 막기 위해서는 반드시 치과에 내원해 치과의사와 상담할 것”이라고 강조했다.
치협 황우진 홍보이사는 “소비자들이 낮은 비용으로 치과 치료와 같은 효과를 볼 수 있는 것으로 오인하고 있다”며 “결국 여러 부작용으로 인해 고통받을 뿐 아니라 오히려 더 많은 시간과 비용이 들 수 있다”고 짚었다.
대한치과교정학회도 해당 장치의 위험성에 대해 언급했다.
학회는 “치아의 파절, 치아의 괴사, 치관 파절, 치근 파절, 치아 발거, 잇몸 및 연조직의 외상과 궤양, 치조골의 상실, 보철물의 탈락 등 다양한 부작용이 발생할 수 있는 것으로 보고된 바 있다”며 “전문가인 치과의사에 의한 진단 및 치료 계획의 부재와 더불어, 교정 진행 과정에서 필요한 관찰과 치료 계획의 변경도 불가능해 소비자의 피해를 최소화할 수 있는 최후의 기회마저 박탈될 수 있다”고 우려를 표했다.
